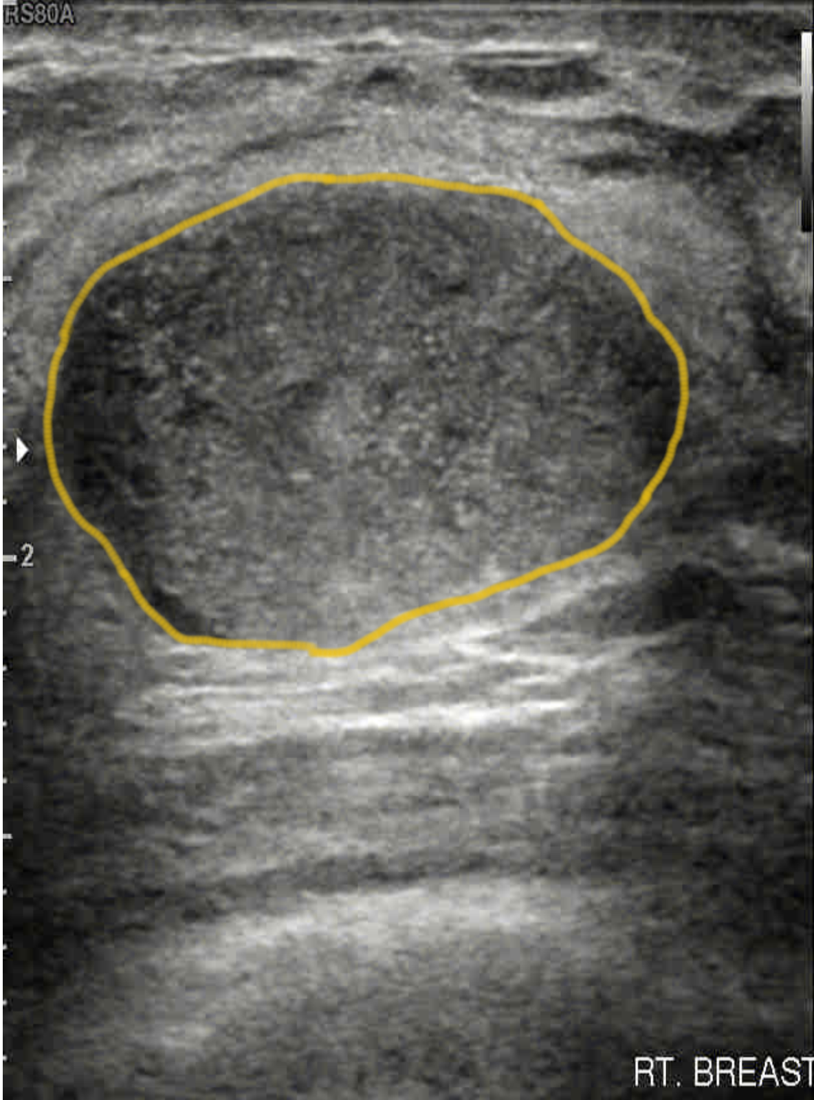
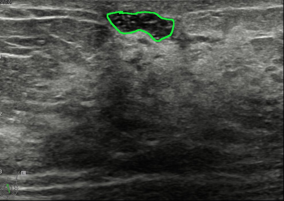
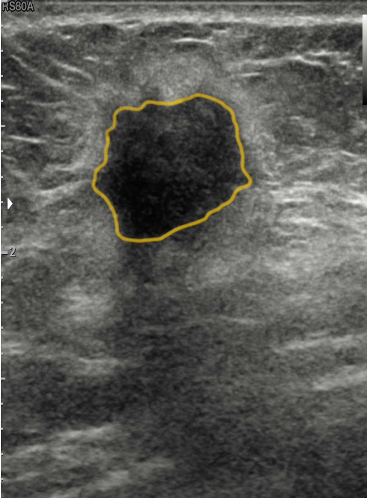
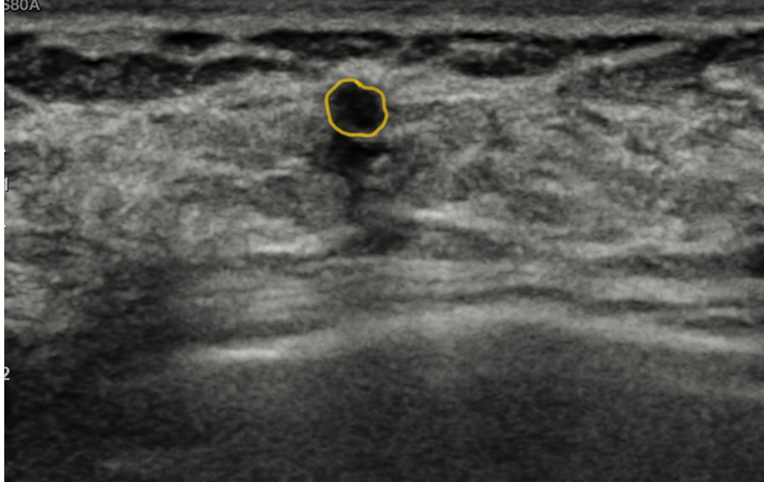
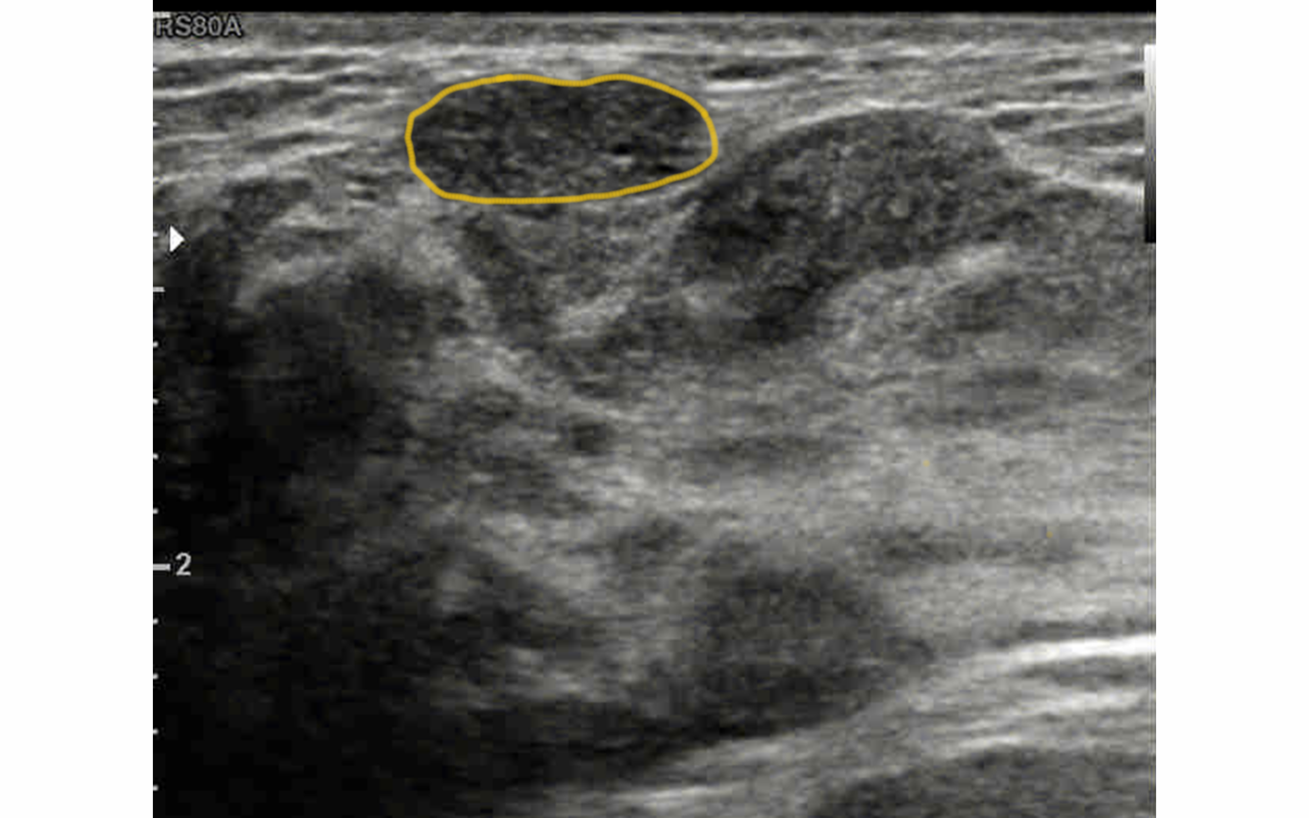
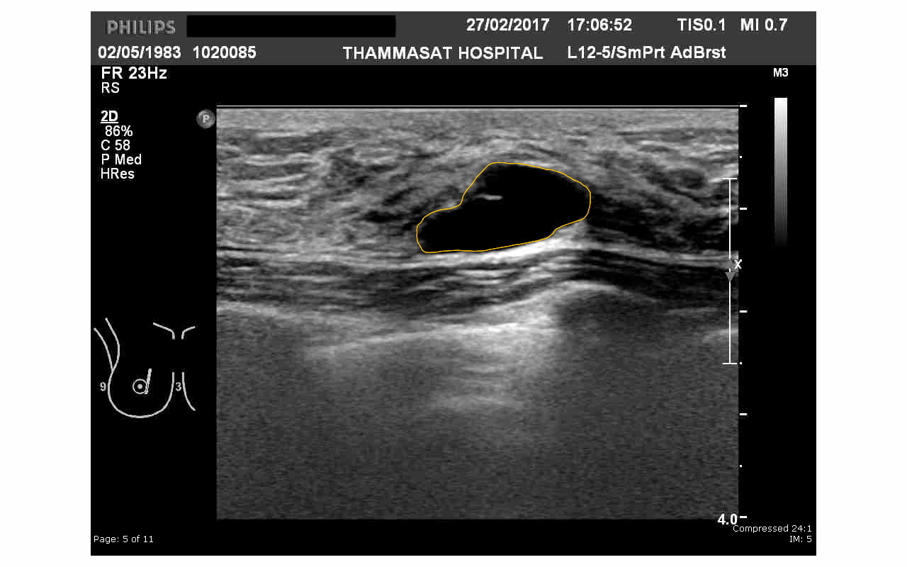
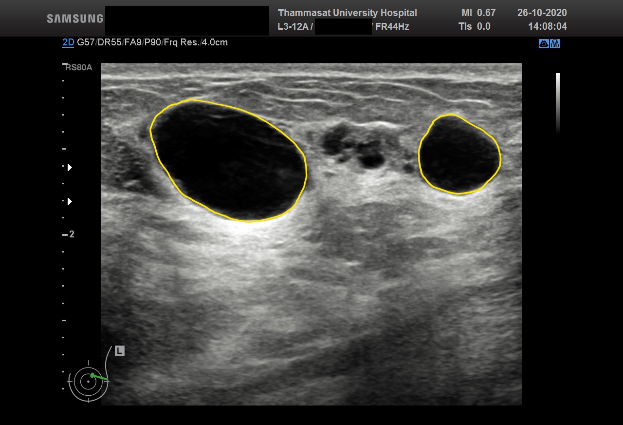
Ground Truth Images
| # | Image | Image Name | Description | Author | 
|---|---|---|---|---|
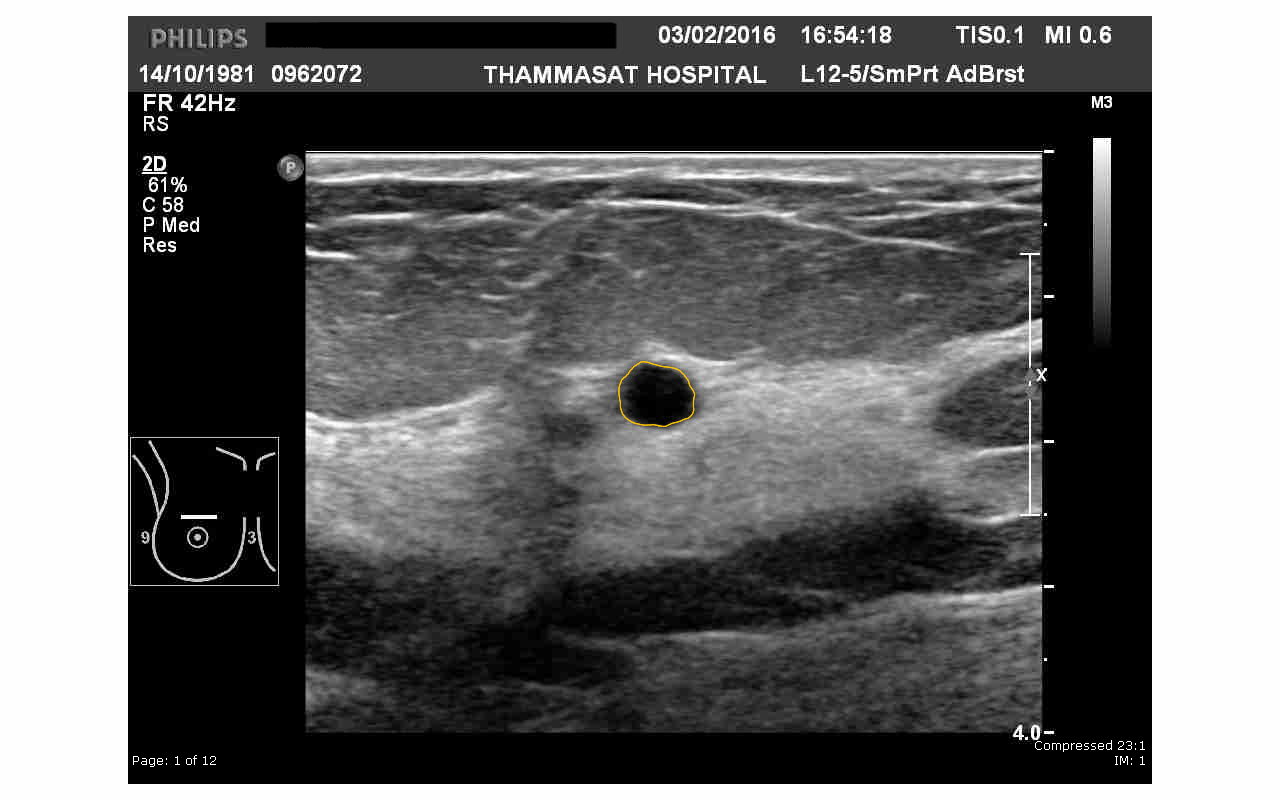
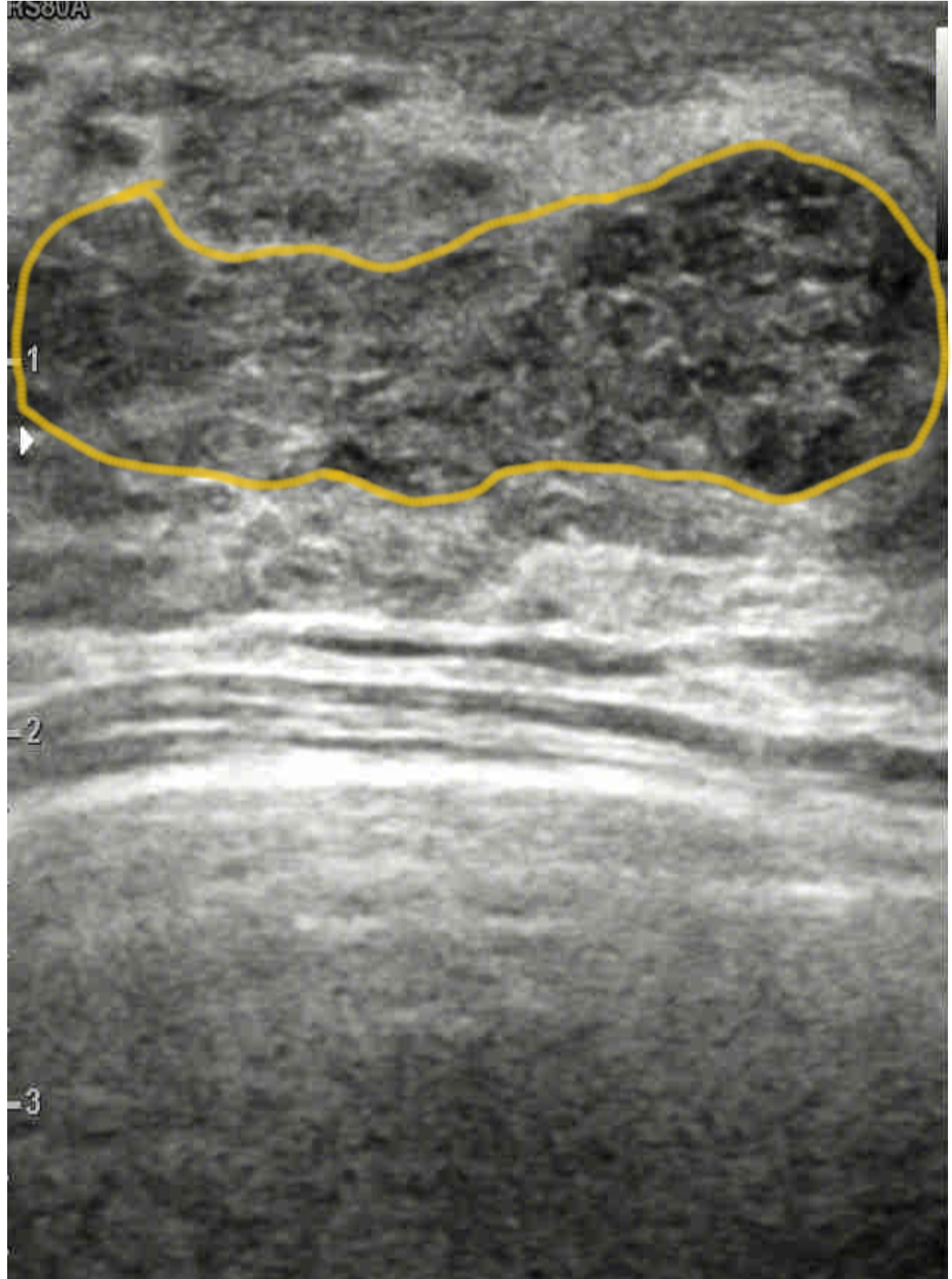
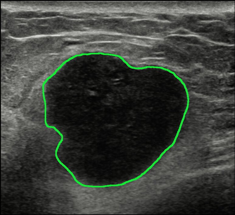
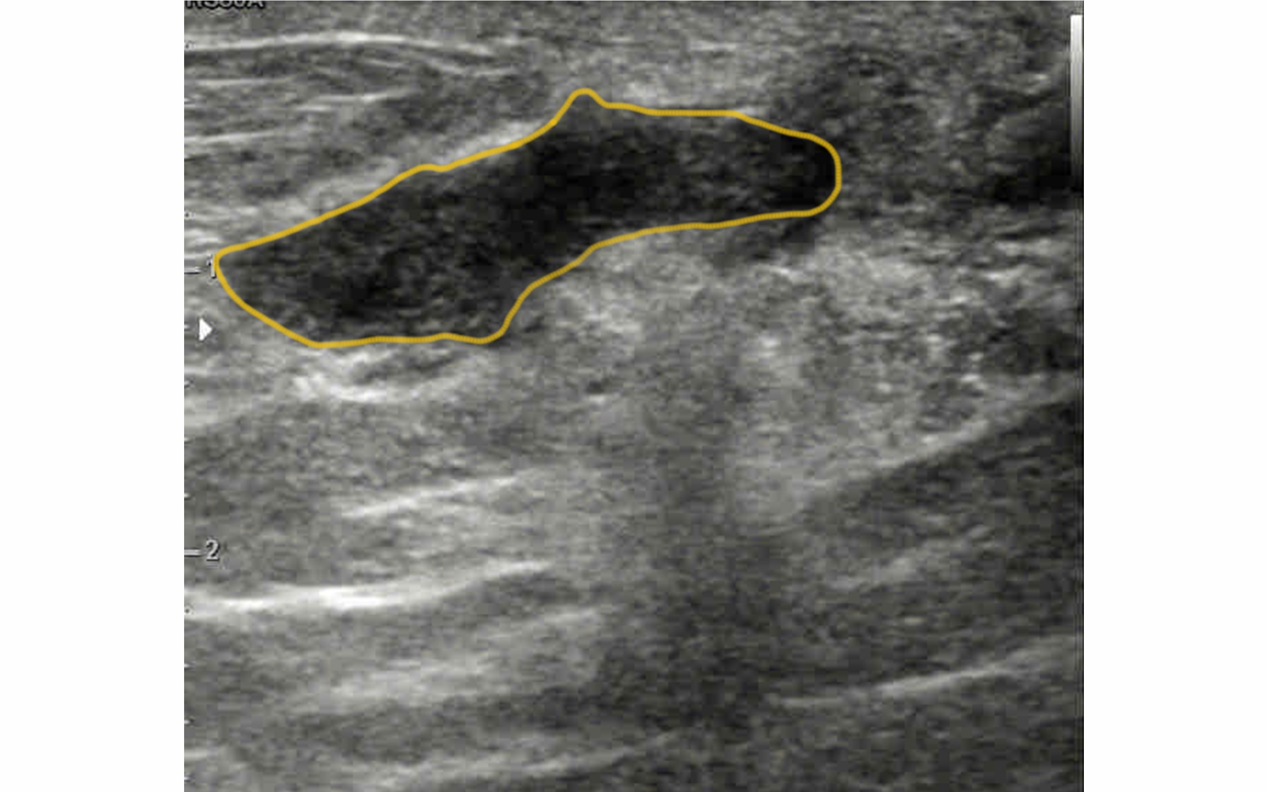
| 1 | 
                                
                                
                                
                                 
                                 | Case-11-G1 | Malignant Solid Mass | Thammasat University Hospital | 
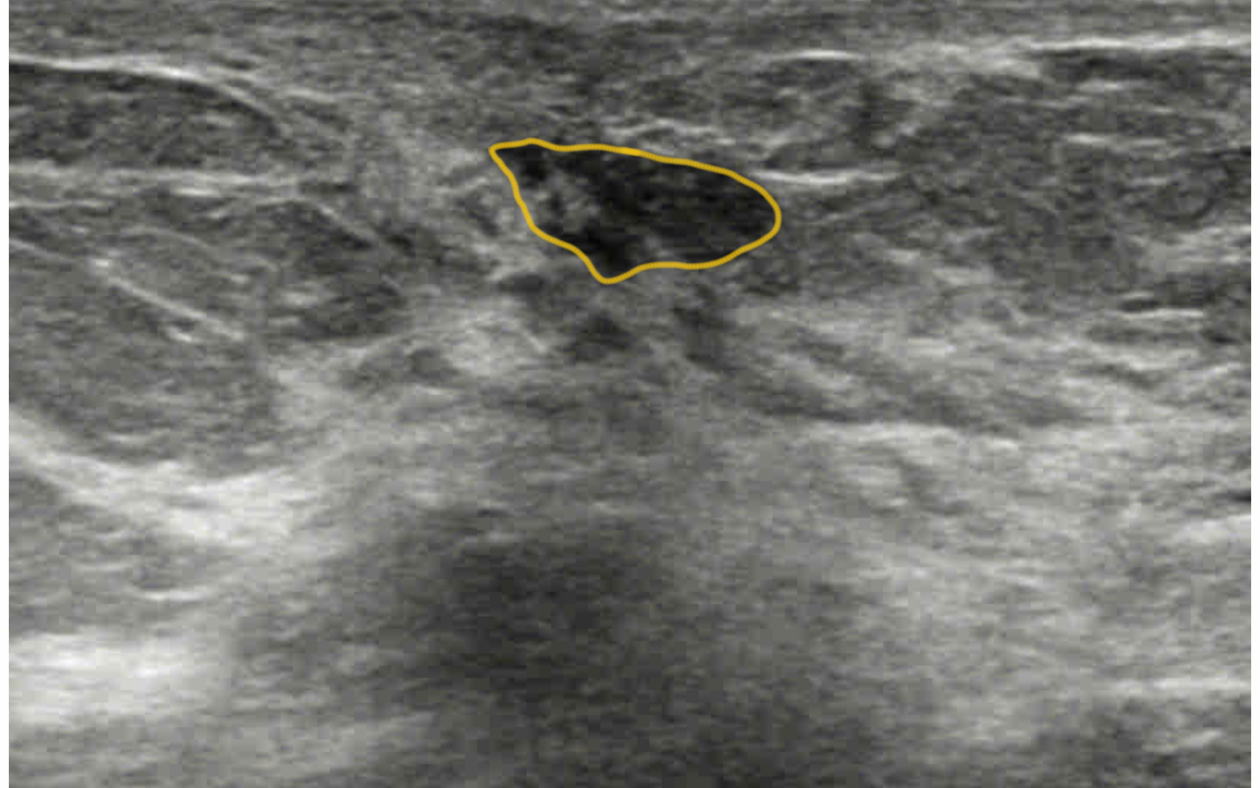
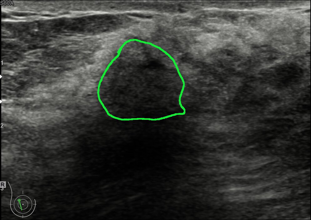
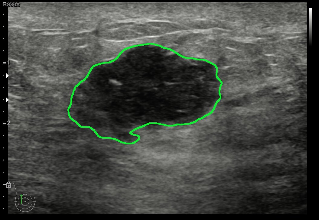
| 2 | 
                                
                                
                                
                                 
                                 | Case-12-G1 | Malignant Solid Mass | Thammasat University Hospital | 
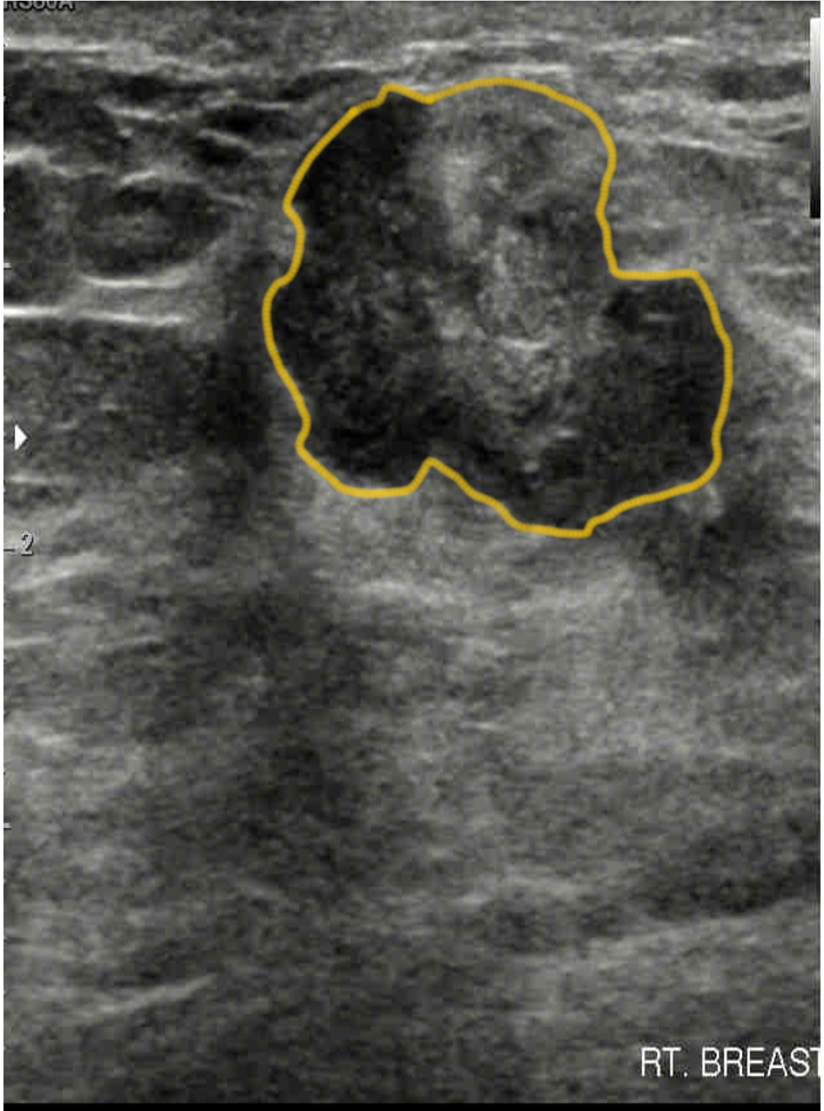
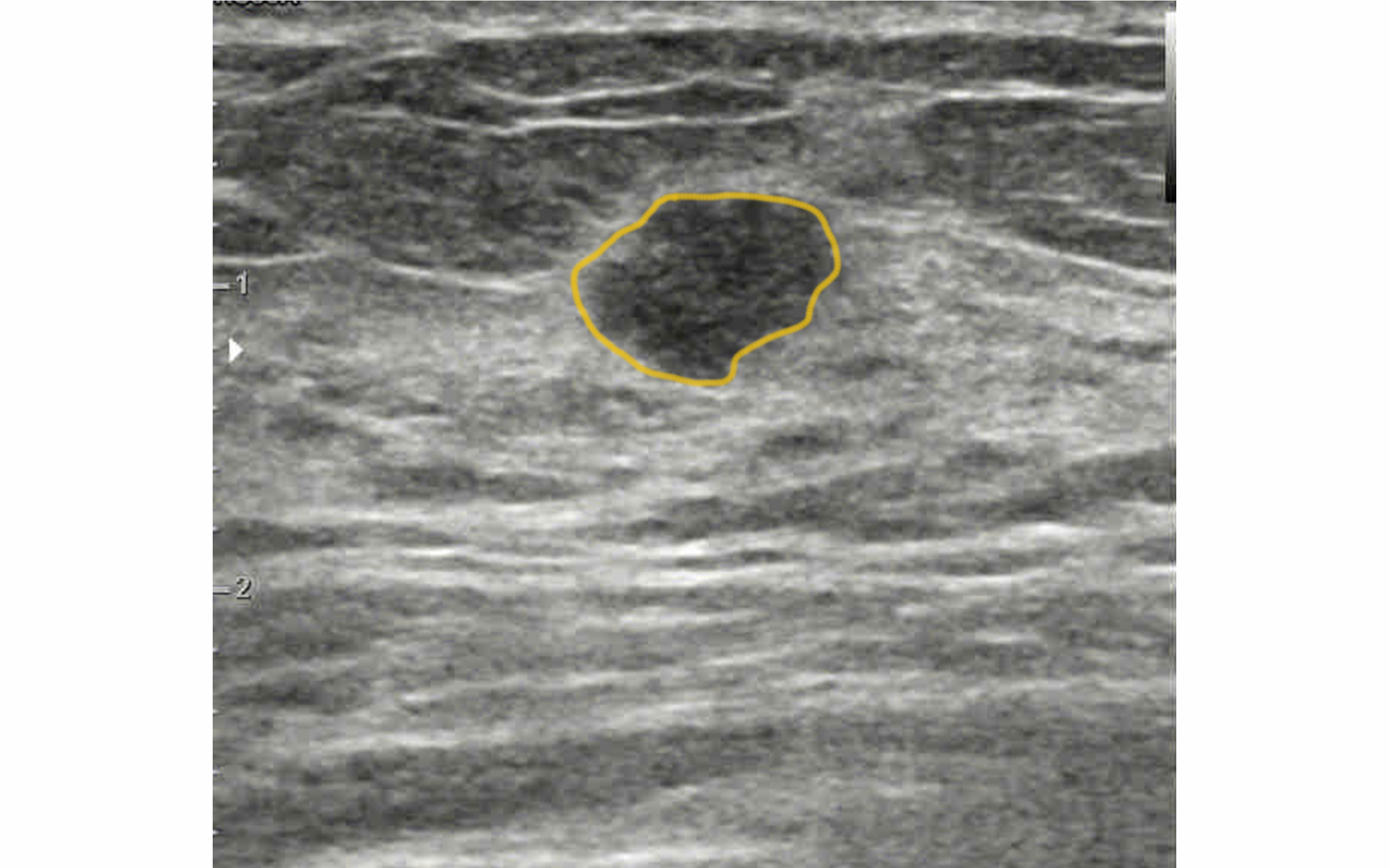
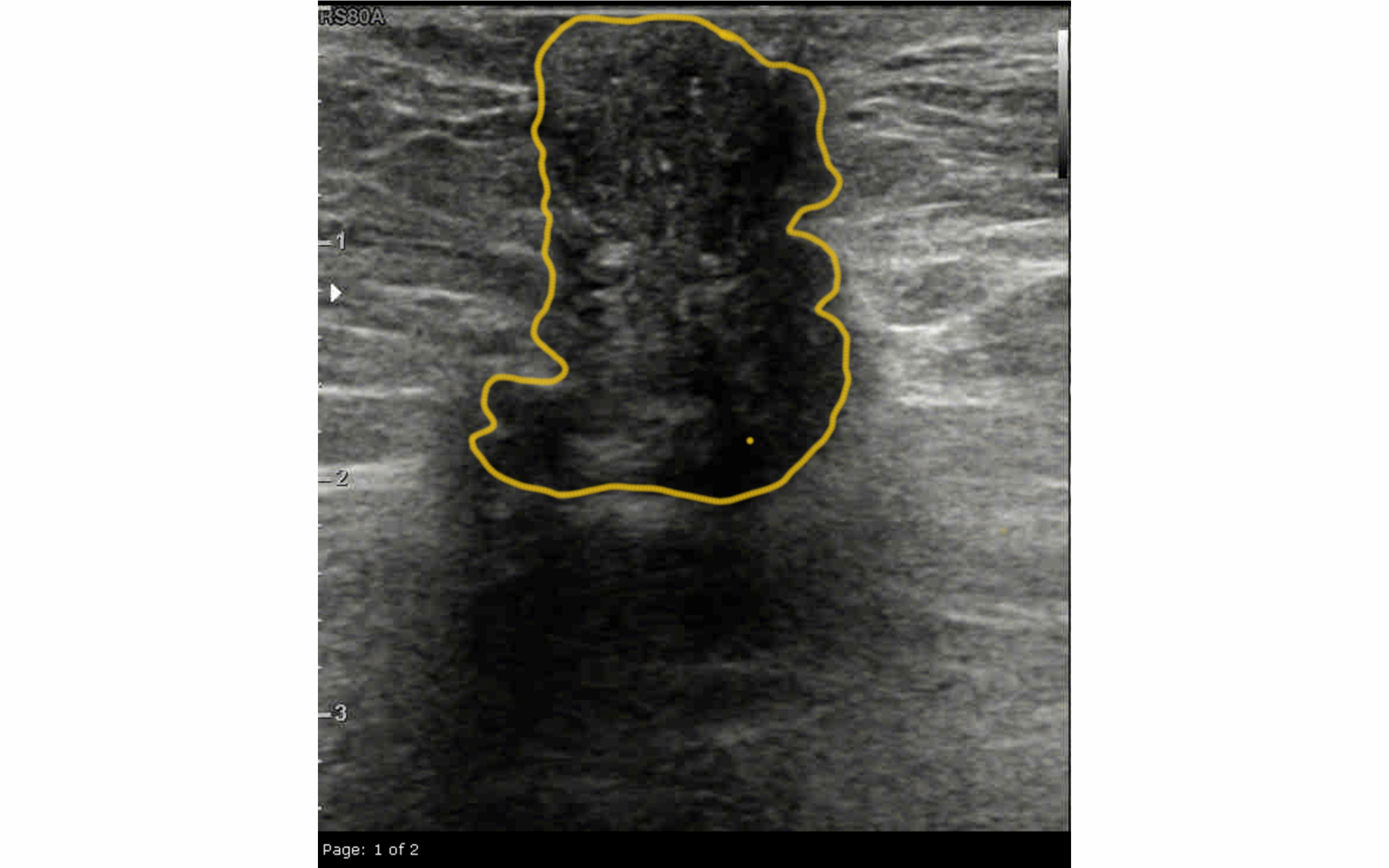
| 3 | 
                                
                                
                                
                                 
                                 | Case-15-G1 | Malignant Solid Mass | Thammasat University Hospital | 
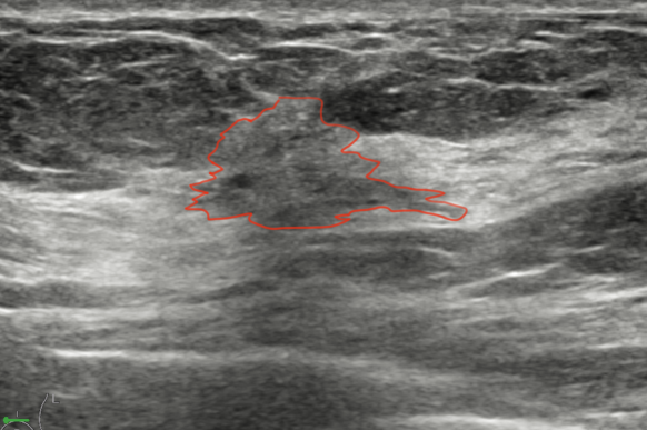
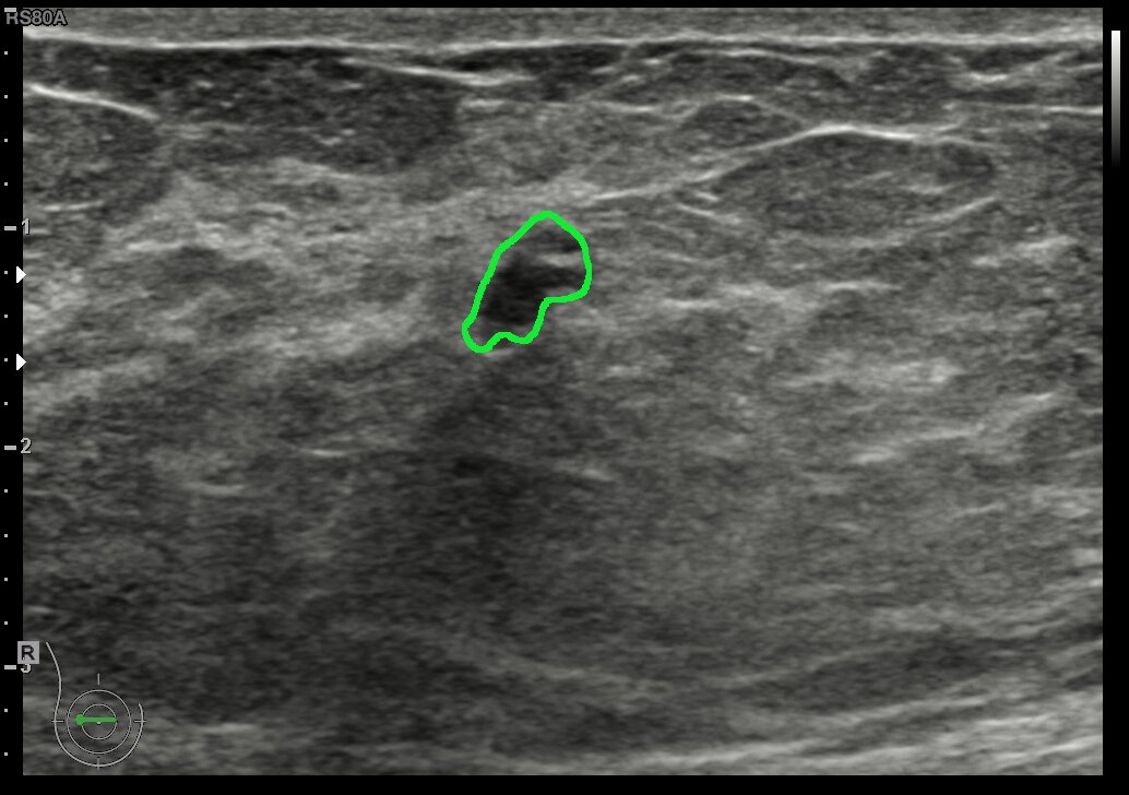
| 4 | 
                                
                                
                                
                                 
                                 | Case-16-G1 | Malignant Solid Mass | Thammasat University Hospital | 
| 5 | 
                                
                                
                                
                                 
                                 | Case-19-G1 | Malignant Solid Mass | Thammasat University Hospital | 
| 6 | 
                                
                                
                                
                                 
                                 | Case-21-G1 | Malignant Solid Mass | Thammasat University Hospital | 
| 7 | 
                                
                                
                                
                                 
                                 | Case-22-G1 | Malignant Solid Mass | Thammasat University Hospital | 
| 8 | 
                                
                                
                                
                                 
                                 | Case-23-G1 | Malignant Solid Mass | Thammasat University Hospital | 
| 9 | 
                                
                                
                                
                                 
                                 | Case-24-G1 | Malignant Solid Mass | Thammasat University Hospital | 
| 10 | 
                                
                                
                                
                                 
                                 | Case-26-G1 | Malignant Solid Mass | Thammasat University Hospital | 
| 11 | 
                                
                                
                                
                                 
                                 | Case-27-G1 | Malignant Solid Mass | Thammasat University Hospital | 
| 12 | 
                                
                                
                                
                                 
                                 | Case-28-G1 | Malignant Solid Mass | Thammasat University Hospital | 
| 13 | 
                                
                                
                                
                                 
                                 | Case-29-G1 | Malignant Solid Mass | Thammasat University Hospital | 
| 14 | 
                                
                                
                                
                                 
                                 | Case-31-G1 | Malignant Solid Mass | Thammasat University Hospital | 
| 15 | 
                                
                                
                                
                                 
                                 | Case-32-G1 | Malignant Solid Mass | Thammasat University Hospital | 
| 16 | 
                                
                                
                                
                                 
                                 | Case-34-G1 | Malignant Solid Mass | Thammasat University Hospital | 
| 17 | 
                                
                                
                                
                                 
                                 | Case-36-G1 | Malignant Solid Mass | Thammasat University Hospital | 
| 18 | 
                                
                                
                                
                                 
                                 | Case-41-G1 | Malignant Solid Mass | Thammasat University Hospital | 
| 19 | 
                                
                                
                                
                                 
                                 | Case-42-G1 | Malignant Solid Mass | Thammasat University Hospital | 
| 20 | 
                                
                                
                                
                                 
                                 | Case-44-G | Malignant Solid Mass | Thammasat University Hospital | 
| 21 | 
                                
                                
                                
                                 
                                 | Case-45-G1 | Malignant Solid Mass | Thammasat University Hospital | 
| 22 | 
                                
                                
                                
                                 
                                 | Case-46-G1 | Malignant Solid Mass | Thammasat University Hospital | 
| 23 | 
                                
                                
                                
                                 
                                 | Case-47-G1 | Malignant Solid Mass | Thammasat University Hospital | 
| 24 | 
                                
                                
                                
                                 
                                 | Case-48-G1 | Malignant Solid Mass | Thammasat University Hospital | 
| 25 | 
                                
                                
                                
                                 
                                 | Case-50-G1 | Malignant Solid Mass | Thammasat University Hospital | 
| 26 | 
                                
                                
                                
                                 
                                 | Case67-G1 | Benign Solid Mass | Thammasat University Hospital | 
| 27 | 
                                
                                
                                
                                 
                                 | Case-65-G1 | Benign Solid Mass | Thammasat University Hospital | 
| 28 | 
                                
                                
                                
                                 
                                 | Case43-G1 | Malignant Solid Mass | Thammasat University Hospital | 
| 29 | 
                                
                                
                                
                                 
                                 | Case-87-G1 | Benign Solid Mass | Thammasat University Hospital | 
| 30 | 
                                
                                
                                
                                 
                                 | Case-88-G1 | Benign Solid Mass | Thammasat University Hospital | 
| 31 | 
                                
                                
                                
                                 
                                 | Case-89-G1 | Benign Solid Mass | Thammasat University Hospital | 
| 32 | 
                                
                                
                                
                                 
                                 | Case-90-G1 | Benign Solid Mass | Thammasat University Hospital | 
| 33 | 
                                
                                
                                
                                 
                                 | Case-91-G1 | Benign Solid Mass | Thammasat University Hospital | 
| 34 | 
                                
                                
                                
                                 
                                 | Case-92-G1 | Benign Solid Mass | Thammasat University Hospital | 
| 35 | 
                                
                                
                                
                                 
                                 | Case-92-G1 | Benign Solid Mass | Thammasat University Hospital | 
| 36 | 
                                
                                
                                
                                 
                                 | Case-93-G1 | Benign Solid Mass | Thammasat University Hospital | 
| 37 | 
                                
                                
                                
                                 
                                 | Case-94-G1 | Benign Solid Mass | Thammasat University Hospital | 
| 38 | 
                                
                                
                                
                                 
                                 | Case-95-G1 | Benign Solid Mass | Thammasat University Hospital | 
| 39 | 
                                
                                
                                
                                 
                                 | Case-96-G1 | Benign Solid Mass | Thammasat University Hospital | 
| 40 | 
                                
                                
                                
                                 
                                 | Case-97-G1 | Benign Solid Mass | Thammasat University Hospital | 
| 41 | 
                                
                                
                                
                                 
                                 | Case-98-G1 | Benign Solid Mass | Thammasat University Hospital | 
| 42 | 
                                
                                
                                
                                 
                                 | Case-99-G1 | Benign Solid Mass | Thammasat University Hospital | 
| 43 | 
                                
                                
                                
                                 
                                 | Case-100-G1 | Benign Solid Mass | Thammasat University Hospital | 
| 44 | 
                                
                                
                                
                                 
                                 | Case-101-G1 | Benign Solid Mass | Thammasat University Hospital | 
| 45 | 
                                
                                
                                
                                 
                                 | Case-102-G1 | Benign Solid Mass | Thammasat University Hospital | 
| 46 | 
                                
                                
                                
                                 
                                 | Case-103-G1 | Malignant Solid Mass | Thammasat University Hospital | 
| 47 | 
                                
                                
                                
                                 
                                 | Case-104-G1 | Malignant Solid Mass | Thammasat University Hospital | 
| 48 | 
                                
                                
                                
                                 
                                 | Case-105-G1 | Malignant Solid Mass | Thammasat University Hospital | 
| 49 | 
                                
                                
                                
                                 
                                 | Case-106-G1 | Malignant Solid Mass | Thammasat University Hospital | 
| 50 | 
                                
                                
                                
                                 
                                 | Case-107-G1 | Malignant Solid Mass | Thammasat University Hospital | 
| 51 | 
                                
                                
                                
                                 
                                 | Case-108-G1 | Malignant Solid Mass | Thammasat University Hospital | 
| 52 | 
                                
                                
                                
                                 
                                 | Case-109-G1 | Malignant Solid Mass | Thammasat University Hospital | 
| 53 | 
                                
                                
                                
                                 
                                 | Case-110-G1 | Malignant Solid Mass | Thammasat University Hospital | 
| 54 | 
                                
                                
                                
                                 
                                 | Case-111-G1 | Malignant Solid Mass | Thammasat University Hospital | 
| 55 | 
                                
                                
                                
                                 
                                 | Case-112-G1 | Malignant Solid Mass | Thammasat University Hospital | 
| 56 | 
                                
                                
                                
                                 
                                 | Case-113-G1 | Malignant Solid Mass | Thammasat University Hospital | 
| 57 | 
                                
                                
                                
                                 
                                 | Case-114-G1 | Malignant Solid Mass | Thammasat University Hospital | 
| 58 | 
                                
                                
                                
                                 
                                 | Case-115-G1 | Malignant Solid Mass | Thammasat University Hospital | 
| 59 | 
                                
                                
                                
                                 
                                 | Case-116-G1 | Malignant Solid Mass | Thammasat University Hospital | 
| 60 | 
                                
                                
                                
                                 
                                 | Case-117-G1 | Malignant Solid Mass | Thammasat University Hospital | 
| 61 | 
                                
                                
                                
                                 
                                 | Case-118-G1 | Malignant Solid Mass | Thammasat University Hospital | 
| 62 | 
                                
                                
                                
                                 
                                 | Case-119-G1 | Malignant Solid Mass | Thammasat University Hospital | 
| 63 | 
                                
                                
                                
                                 
                                 | Case-120-G1 | Malignant Solid Mass | Thammasat University Hospital | 
| 64 | 
                                
                                
                                
                                 
                                 | Case-121-G1 | Malignant Solid Mass | Thammasat University Hospital | 
| 65 | 
                                
                                
                                
                                 
                                 | Case-122-G1 | Malignant Solid Mass | Thammasat University Hospital | 
| 66 | 
                                
                                
                                
                                 
                                 | Case-123-G1 | Malignant Solid Mass | Thammasat University Hospital | 
| 67 | 
                                
                                
                                
                                 
                                 | Case-124-G1 | Malignant Solid Mass | Thammasat University Hospital | 
| 68 | 
                                
                                
                                
                                 
                                 | Case-125-G1 | Malignant Solid Mass | Thammasat University Hospital | 
| 69 | 
                                
                                
                                
                                 
                                 | Case-126-G1 | Malignant Solid Mass | Thammasat University Hospital | 
| 70 | 
                                
                                
                                
                                 
                                 | Case-127-G1 | Malignant Solid Mass | Thammasat University Hospital | 
| 71 | 
                                
                                
                                
                                 
                                 | Case-128-G1 | Malignant Solid Mass | Thammasat University Hospital | 
| 72 | 
                                
                                
                                
                                 
                                 | Case-129-G1 | Malignant Solid Mass | Thammasat University Hospital | 
| 73 | 
                                
                                
                                
                                 
                                 | Case-130-G1 | Malignant Solid Mass | Thammasat University Hospital | 
| 74 | 
                                
                                
                                
                                 
                                 | Case-131-G1 | Malignant Solid Mass | Thammasat University Hospital | 
| 75 | 
                                
                                
                                
                                 
                                 | Case-132-G1 | Malignant Solid Mass | Thammasat University Hospital | 
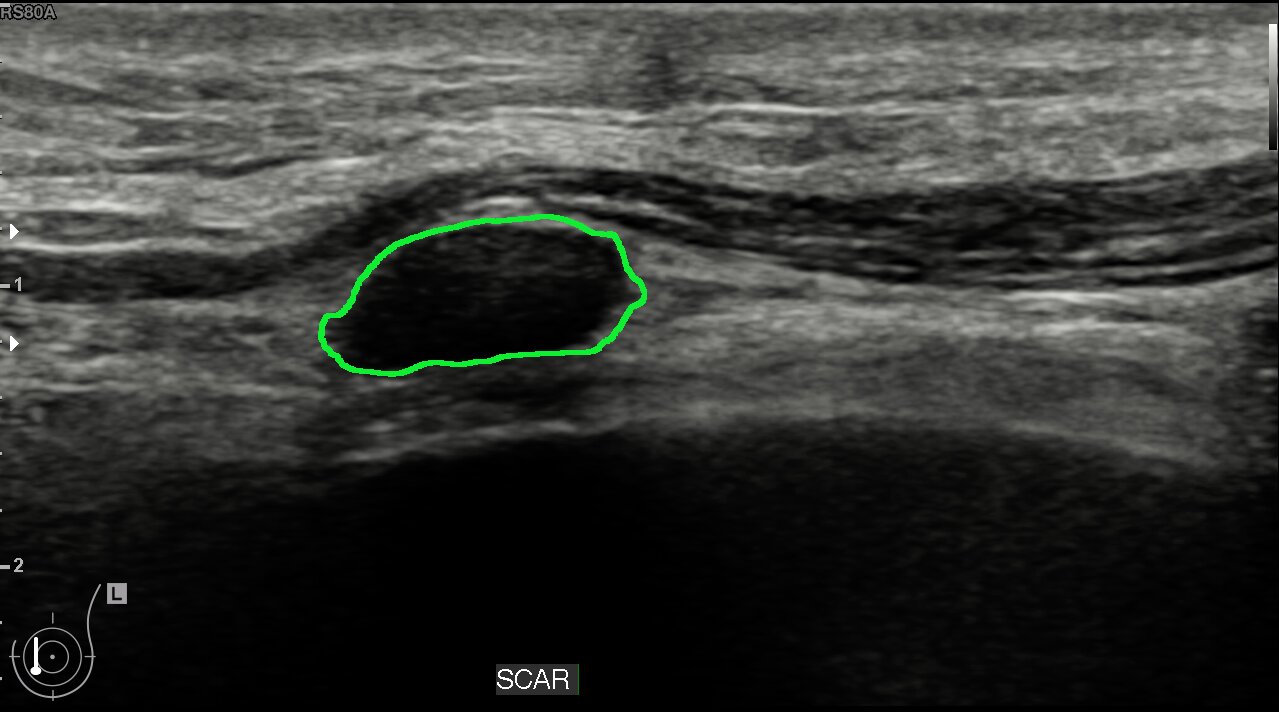
| 76 | 
                                
                                
                                
                                 
                                 | Case-133-G1 | Malignant Solid Mass | Thammasat University Hospital | 
| 77 | 
                                
                                
                                
                                 
                                 | Case-134-G1 | Malignant Solid Mass | Thammasat University Hospital | 
| 78 | 
                                
                                
                                
                                 
                                 | Case-135-G1 | Malignant Solid Mass | Thammasat University Hospital | 
| 79 | 
                                
                                
                                
                                 
                                 | Case-136-G1 | Malignant Solid Mass | Thammasat University Hospital | 
| 80 | 
                                
                                
                                
                                 
                                 | Case-137-G1 | Malignant Solid Mass | Thammasat University Hospital | 
| 81 | 
                                
                                
                                
                                 
                                 | Case-138-G1 | Malignant Solid Mass | Thammasat University Hospital | 
| 82 | 
                                
                                
                                
                                 
                                 | Case-139-G1 | Malignant Solid Mass | Thammasat University Hospital | 
| 83 | 
                                
                                
                                
                                 
                                 | Case-140-G1 | Malignant Solid Mass | Thammasat University Hospital | 
| 84 | 
                                
                                
                                
                                 
                                 | Case-141-G1 | Malignant Solid Mass | Thammasat University Hospital | 
| 85 | 
                                
                                
                                
                                 
                                 | Case-142-G1 | Malignant Solid Mass | Thammasat University Hospital | 
| 86 | 
                                
                                
                                
                                 
                                 | Case-143-G1 | Malignant Solid Mass | Thammasat University Hospital | 
| 87 | 
                                
                                
                                
                                 
                                 | Case-144-G1 | Malignant Solid Mass | Thammasat University Hospital | 
| 88 | 
                                
                                
                                
                                 
                                 | Case-145-G1 | Malignant Solid Mass | Thammasat University Hospital | 
| 89 | 
                                
                                
                                
                                 
                                 | Case-146-G1 | Malignant Solid Mass | Thammasat University Hospital | 
| 90 | 
                                
                                
                                
                                 
                                 | Case-147-G1 | Malignant Solid Mass | Thammasat University Hospital | 
| 91 | 
                                
                                
                                
                                 
                                 | Case-148-G1 | Malignant Solid Mass | Thammasat University Hospital | 
| 92 | 
                                
                                
                                
                                 
                                 | Case-149-G1 | Malignant Solid Mass | Thammasat University Hospital | 
| 93 | 
                                
                                
                                
                                 
                                 | Case-150-G1 | Malignant Solid Mass | Thammasat University Hospital | 
| 94 | 
                                
                                
                                
                                 
                                 | Case-151-G1 | Malignant Solid Mass | Thammasat University Hospital | 
| 95 | 
                                
                                
                                
                                 
                                 | Case-152-G1 | Malignant Solid Mass | Thammasat University Hospital | 
| 96 | 
                                
                                
                                
                                 
                                 | Case-153-G1 | Malignant Solid Mass | Thammasat University Hospital | 
| 97 | 
                                
                                
                                
                                 
                                 | Case-154-G1 | Malignant Solid Mass | Thammasat University Hospital | 
| 98 | 
                                
                                
                                
                                 
                                 | Case-155-G1 | Malignant Solid Mass | Thammasat University Hospital | 
| 99 | 
                                
                                
                                
                                 
                                 | Case-156-G1 | Malignant Solid Mass | Thammasat University Hospital | 
| 100 | 
                                
                                
                                
                                 
                                 | Case-157-G1 | Malignant Solid Mass | Thammasat University Hospital | 
| 101 | 
                                
                                
                                
                                 
                                 | Case-158-G1 | Malignant Solid Mass | Thammasat University Hospital | 
| 102 | 
                                
                                
                                
                                 
                                 | Case-159-G1 | Malignant Solid Mass | Thammasat University Hospital | 
| 103 | 
                                
                                
                                
                                 
                                 | Case-160-G1 | Malignant Solid Mass | Thammasat University Hospital | 
| 104 | 
                                
                                
                                
                                 
                                 | Case-162-G1 | Malignant Solid Mass | Thammasat University Hospital | 
| 105 | 
                                
                                
                                
                                 
                                 | Case-163-G1 | Malignant Solid Mass | Thammasat University Hospital | 
| 106 | 
                                
                                
                                
                                 
                                 | Case-164-G1 | Malignant Solid Mass | Thammasat University Hospital | 
| 107 | 
                                
                                
                                
                                 
                                 | Case-165-G1 | Malignant Solid Mass | Thammasat University Hospital | 
| 108 | 
                                
                                
                                
                                 
                                 | Case-166-G1 | Malignant Solid Mass | Thammasat University Hospital | 
| 109 | 
                                
                                
                                
                                 
                                 | Case-171-G1 | Fibroadenoma | Thammasat University Hospital | 
| 110 | 
                                
                                
                                
                                 
                                 | Case-172-G1 | Fibroadenoma | Thammasat University Hospital | 
| 111 | 
                                
                                
                                
                                 
                                 | Case-173-G1 | Fibroadenoma | Thammasat University Hospital | 
| 112 | 
                                
                                
                                
                                 
                                 | Case-174-G1 | Fibroadenoma | Thammasat University Hospital | 
| 113 | 
                                
                                
                                
                                 
                                 | Case-175-G1 | Fibroadenoma | Thammasat University Hospital | 
| 114 | 
                                
                                
                                
                                 
                                 | Case-176-G1 | Fibroadenoma | Thammasat University Hospital | 
| 115 | 
                                
                                
                                
                                 
                                 | Case-178-G1 | Fibroadenoma | Thammasat University Hospital | 
| 116 | 
                                
                                
                                
                                 
                                 | Case-179-G1 | Fibroadenoma | Thammasat University Hospital | 
| 117 | 
                                
                                
                                
                                 
                                 | Case-180-G1 | Fibroadenoma | Thammasat University Hospital | 
| 118 | 
                                
                                
                                
                                 
                                 | Case-181-G1 | Fibroadenoma | Thammasat University Hospital | 
| 119 | 
                                
                                
                                
                                 
                                 | Case-182-G1 | Fibroadenoma | Thammasat University Hospital | 
| 120 | 
                                
                                
                                
                                 
                                 | Case-183-G1 | Fibroadenoma | Thammasat University Hospital | 
| 121 | 
                                
                                
                                
                                 
                                 | Case-184-G1 | Fibroadenoma | Thammasat University Hospital | 
| 122 | 
                                
                                
                                
                                 
                                 | Case-185-G1 | Fibroadenoma | Thammasat University Hospital | 
| 123 | 
                                
                                
                                
                                 
                                 | Case-186-G1 | Fibroadenoma | Thammasat University Hospital | 
| 124 | 
                                
                                
                                
                                 
                                 | Case-187-G1 | Fibroadenoma | Thammasat University Hospital | 
| 125 | 
                                
                                
                                
                                 
                                 | Case-188-G1 | Cyst | Thammasat University Hospital | 
| 126 | 
                                
                                
                                
                                 
                                 | Case-189-G1 | Cyst | Thammasat University Hospital | 
| 127 | 
                                
                                
                                
                                 
                                 | Case-190-G1 | Cyst | Thammasat University Hospital | 
| 128 | 
                                
                                
                                
                                 
                                 | Case-191-G1 | Cyst | Thammasat University Hospital | 
| 129 | 
                                
                                
                                
                                 
                                 | Case-192-G1 | Cyst | Thammasat University Hospital | 
| 130 | 
                                
                                
                                
                                 
                                 | Case-193-G1 | Cyst | Thammasat University Hospital | 
| 131 | 
                                
                                
                                
                                 
                                 | Case-194-G1 | Cyst | Thammasat University Hospital | 
| 132 | 
                                
                                
                                
                                 
                                 | Case-195-G1 | Cyst | Thammasat University Hospital | 
| 133 | 
                                
                                
                                
                                 
                                 | Case-196-G1 | Cyst | Thammasat University Hospital | 
| 134 | 
                                
                                
                                
                                 
                                 | Case-197-G1 | Cyst | Thammasat University Hospital | 
| 135 | 
                                
                                
                                
                                 
                                 | Case-198-G1 | Cyst | Thammasat University Hospital | 
| 136 | 
                                
                                
                                
                                 
                                 | Case-199-G1 | Cyst | Thammasat University Hospital | 
| 137 | 
                                
                                
                                
                                 
                                 | Case-200-G1 | Cyst | Thammasat University Hospital | 
| 138 | 
                                
                                
                                
                                 
                                 | Case-201-G1 | Cyst | Thammasat University Hospital | 
| 139 | 
                                
                                
                                
                                 
                                 | Case-202-G1 | Cyst | Thammasat University Hospital | 
| 140 | 
                                
                                
                                
                                 
                                 | Case-203-G1 | Cyst | Thammasat University Hospital | 
| 141 | 
                                
                                
                                
                                 
                                 | Case-204-G1 | Cyst | Thammasat University Hospital | 
| 142 | 
                                
                                
                                
                                 
                                 | Case-205-G1 | Cyst | Thammasat University Hospital | 
| 143 | 
                                
                                
                                
                                 
                                 | Case-206-G1 | Cyst | Thammasat University Hospital | 
| 144 | 
                                
                                
                                
                                 
                                 | Case-207-G1 | Cyst | Thammasat University Hospital | 
| 145 | 
                                
                                
                                
                                 
                                 | Case-208-G1 | Cyst | Thammasat University Hospital | 
| 146 | 
                                
                                
                                
                                 
                                 | Case-209-G1 | Cyst | Thammasat University Hospital | 
| 147 | 
                                
                                
                                
                                 
                                 | Case-168-G1 | Fibroadenoma | Thammasat University Hospital | 
| 148 | 
                                
                                
                                
                                 
                                 | Case-169-G1 | Fibroadenoma | Thammasat University Hospital | 
| 149 | 
                                
                                
                                
                                 
                                 | Case-170-G1 | Fibroadenoma | Thammasat University Hospital | 
| 150 | 
                                
                                
                                
                                 
                                 | Case-177-G1 | Cyst | Thammasat University Hospital | 
| 151 | 
                                
                                
                                
                                 
                                 | Case-210-G1 | Malignant Solid Mass | Thammasat University Hospital | 
| 152 | 
                                
                                
                                
                                 
                                 | Case-212-G1 | Malignant Solid Mass | Thammasat University Hospital | 
| 153 | 
                                
                                
                                
                                 
                                 | Case-213-G1 | Follow up | Thammasat University Hospital | 
| 154 | 
                                
                                
                                
                                 
                                 | Case-214-G1 | Malignant Solid Mass | |
| 155 | 
                                
                                
                                
                                 
                                 | Case-215-G1 | Benign Solid Mass | Thammasat University Hospital | 
| 156 | 
                                
                                
                                
                                 
                                 | Case-216-G1 | Benign Solid Mass | Thammasat University Hospital | 
| 157 | 
                                
                                
                                
                                 
                                 | Case-218-G1 | Malignant Solid Mass | Thammasat University Hospital | 
| 158 | 
                                
                                
                                
                                 
                                 | Case-217-G1 | Malignant Solid Mass | Thammasat University Hospital | 
| 159 | 
                                
                                
                                
                                 
                                 | Case-219-G1 | Follow up | Thammasat University Hospital | 
| 160 | 
                                
                                
                                
                                 
                                 | Case-220-G1 | Malignant Solid Mass | Thammasat University Hospital | 
| 161 | 
                                
                                
                                
                                 
                                 | Case-221-G1 | Malignant Solid Mass | Thammasat University Hospital | 
| 162 | 
                                
                                
                                
                                 
                                 | Case-222-G1 | Malignant Solid Mass | Thammasat University Hospital | 
| 163 | 
                                
                                
                                
                                 
                                 | Case-223-G1 | Malignant Solid Mass | Thammasat University Hospital | 
| 164 | 
                                
                                
                                
                                 
                                 | Case-224-G1 | Follow up | Thammasat University Hospital | 
| 165 | 
                                
                                
                                
                                 
                                 | Case-225-G1 | Malignant Solid Mass | Thammasat University Hospital | 
| 166 | 
                                
                                
                                
                                 
                                 | Case-226-G1 | malignant | Thammasat University Hospital | 
| 167 | 
                                
                                
                                
                                 
                                 | Case-227-G1 | Follow up | Thammasat University Hospital | 
| 168 | 
                                
                                
                                
                                 
                                 | Case-228-G1 | Malignant Solid Mass | Thammasat University Hospital | 
| 169 | 
                                
                                
                                
                                 
                                 | Case-229-G1 | Follow up | Thammasat University Hospital | 
| 170 | 
                                
                                
                                
                                 
                                 | Case-230-G1 | Follow up | Thammasat University Hospital | 
| 171 | 
                                
                                
                                
                                 
                                 | Case-231-G1 | Malignant Solid Mass | Thammasat University Hospital | 
| 172 | 
                                
                                
                                
                                 
                                 | Case-232-G1 | Malignant Solid Mass | Thammasat University Hospital | 
| 173 | 
                                
                                
                                
                                 
                                 | Case-233-G1 | Malignant Solid Mass | Thammasat University Hospital | 
| 174 | 
                                
                                
                                
                                 
                                 | Case-234-G1 | Benign Solid Mass | Thammasat University Hospital | 
| 175 | 
                                
                                
                                
                                 
                                 | Case-235-G1 | Malignant Solid Mass | Thammasat University Hospital | 
| 176 | 
                                
                                
                                
                                 
                                 | Case-236-G1 | Benign Solid Mass | Thammasat University Hospital | 
| 177 | 
                                
                                
                                
                                 
                                 | Case-237-G1 | Benign Solid Mass | Thammasat University Hospital | 
| 178 | 
                                
                                
                                
                                 
                                 | Case-238-G1 | Benign Solid Mass | Thammasat University Hospital | 
| 179 | 
                                
                                
                                
                                 
                                 | Case-239-G1 | Benign Solid Mass | Thammasat University Hospital | 
| 180 | 
                                
                                
                                
                                 
                                 | Case-240-G1 | Benign Solid Mass | Thammasat University Hospital | 
| 181 | 
                                
                                
                                
                                 
                                 | Case-241-G1 | Benign Solid Mass | Thammasat University Hospital | 
| 182 | 
                                
                                
                                
                                 
                                 | Case-242-G1 | Thammasat University Hospital | |
| 183 | 
                                
                                
                                
                                 
                                 | Case-243-G2 | Thammasat University Hospital | |
| 184 | 
                                
                                
                                
                                 
                                 | Case-243-G1 | Thammasat University Hospital | |
| 185 | 
                                
                                
                                
                                 
                                 | Case-243-G2 | Thammasat University Hospital | |
| 186 | 
                                
                                
                                
                                 
                                 | Case-244-G1 | Thammasat University Hospital | |
| 187 | 
                                
                                
                                
                                 
                                 | Case-244-G2 | Thammasat University Hospital | |
| 188 | 
                                
                                
                                
                                 
                                 | Case-245-G1 | Thammasat University Hospital | |
| 189 | 
                                
                                
                                
                                 
                                 | Case-245-G2 | Thammasat University Hospital | |
| 190 | 
                                
                                
                                
                                 
                                 | Case-246-G1 | Thammasat University Hospital | |
| 191 | 
                                
                                
                                
                                 
                                 | Case-246-G2 | Thammasat University Hospital | |
| 192 | 
                                
                                
                                
                                 
                                 | Case-247-G1 | Thammasat University Hospital | |
| 193 | 
                                
                                
                                
                                 
                                 | Case-247-G2 | Thammasat University Hospital | |
| 194 | 
                                
                                
                                
                                 
                                 | Case-248-G1 | Thammasat University Hospital | |
| 195 | 
                                
                                
                                
                                 
                                 | Case-248-G2 | Thammasat University Hospital | |
| 196 | 
                                
                                
                                
                                 
                                 | Case-249-G1 | Thammasat University Hospital | |
| 197 | 
                                
                                
                                
                                 
                                 | Case-249-G2 | Thammasat University Hospital | |
| 198 | 
                                
                                
                                
                                 
                                 | Case-250-G1 | Thammasat University Hospital | |
| 199 | 
                                
                                
                                
                                 
                                 | Case-250-G2 | Thammasat University Hospital | |
| 200 | 
                                
                                
                                
                                 
                                 | Case-251-G1 | Thammasat University Hospital | |
| 201 | 
                                
                                
                                
                                 
                                 | Case-251-G2 | Thammasat University Hospital | |
| 202 | 
                                
                                
                                
                                 
                                 | Case-252-G1 | Thammasat University Hospital | |
| 203 | 
                                
                                
                                
                                 
                                 | Case-252-G2 | Thammasat University Hospital | |
| 204 | 
                                
                                
                                
                                 
                                 | Case-253-G1 | Thammasat University Hospital | |
| 205 | 
                                
                                
                                
                                 
                                 | Case-253-G2 | Thammasat University Hospital | |
| 206 | 
                                
                                
                                
                                 
                                 | Case-254-G1 | Thammasat University Hospital | |
| 207 | 
                                
                                
                                
                                 
                                 | Case-254-G2 | Thammasat University Hospital | |
| 208 | 
                                
                                
                                
                                 
                                 | Case-255-G1 | Thammasat University Hospital | |
| 209 | 
                                
                                
                                
                                 
                                 | Case-255-G2 | Thammasat University Hospital | |
| 210 | 
                                
                                
                                
                                 
                                 | Case-256-G1 | Thammasat University Hospital | |
| 211 | 
                                
                                
                                
                                 
                                 | Case-256-G2 | Thammasat University Hospital | |
| 212 | 
                                
                                
                                
                                 
                                 | Case-257-G1 | Thammasat University Hospital | |
| 213 | 
                                
                                
                                
                                 
                                 | Case-257-G2 | Thammasat University Hospital | |
| 214 | 
                                
                                
                                
                                 
                                 | Case-258-G1 | Thammasat University Hospital | |
| 215 | 
                                
                                
                                
                                 
                                 | Case-258-G2 | Thammasat University Hospital | |
| 216 | 
                                
                                
                                
                                 
                                 | Case-259-G1 | Thammasat University Hospital | |
| 217 | 
                                
                                
                                
                                 
                                 | Case-259-G2 | Thammasat University Hospital | |
| 218 | 
                                
                                
                                
                                 
                                 | Case-260-G1 | Thammasat University Hospital | |
| 219 | 
                                
                                
                                
                                 
                                 | Case-260-G2 | Thammasat University Hospital | |
| 220 | 
                                
                                
                                
                                 
                                 | Case-261-G1 | Thammasat University Hospital | |
| 221 | 
                                
                                
                                
                                 
                                 | Case-261-G2 | Thammasat University Hospital | |
| 222 | 
                                
                                
                                
                                 
                                 | Case-262-G1 | Thammasat University Hospital | |
| 223 | 
                                
                                
                                
                                 
                                 | Case-262-G2 | Thammasat University Hospital | |
| 224 | 
                                
                                
                                
                                 
                                 | Case-263-G1 | Thammasat University Hospital | |
| 225 | 
                                
                                
                                
                                 
                                 | Case-263-G2 | Thammasat University Hospital | |
| 226 | 
                                
                                
                                
                                 
                                 | Case-264-G1 | Thammasat University Hospital | |
| 227 | 
                                
                                
                                
                                 
                                 | Case-264-G2 | Thammasat University Hospital | |
| 228 | 
                                
                                
                                
                                 
                                 | Case-265-G1 | Thammasat University Hospital | |
| 229 | 
                                
                                
                                
                                 
                                 | Case-265-G2 | Thammasat University Hospital | |
| 230 | 
                                
                                
                                
                                 
                                 | Case-266-G1 | Thammasat University Hospital | |
| 231 | 
                                
                                
                                
                                 
                                 | Case-266-G2 | Thammasat University Hospital | |
| 232 | 
                                
                                
                                
                                 
                                 | Case-267-G1 | Thammasat University Hospital | |
| 233 | 
                                
                                
                                
                                 
                                 | Case-267-G2 | Thammasat University Hospital | |
| 234 | 
                                
                                
                                
                                 
                                 | Case-268-G1 | Thammasat University Hospital | |
| 235 | 
                                
                                
                                
                                 
                                 | Case-268-G2 | Thammasat University Hospital | |
| 236 | 
                                
                                
                                
                                 
                                 | Case-269-G1 | Thammasat University Hospital | |
| 237 | 
                                
                                
                                
                                 
                                 | Case-269-G2 | Thammasat University Hospital | |
| 238 | 
                                
                                
                                
                                 
                                 | Case-270-G1 | Thammasat University Hospital | |
| 239 | 
                                
                                
                                
                                 
                                 | Case-270-G2 | Thammasat University Hospital | |
| 240 | 
                                
                                
                                
                                 
                                 | Case-271-G1 | Thammasat University Hospital | |
| 241 | 
                                
                                
                                
                                 
                                 | Case-271-G2 | Thammasat University Hospital | |
| 242 | 
                                
                                
                                
                                 
                                 | Case-272-G1 | Thammasat University Hospital | |
| 243 | 
                                
                                
                                
                                 
                                 | Case-272-G2 | Thammasat University Hospital | |
| 244 | 
                                
                                
                                
                                 
                                 | Case-273-G1 | Thammasat University Hospital | |
| 245 | 
                                
                                
                                
                                 
                                 | Case-273-G2 | Thammasat University Hospital | |
| 246 | 
                                
                                
                                
                                 
                                 | Case-274-G1 | Thammasat University Hospital | |
| 247 | 
                                
                                
                                
                                 
                                 | Case-274-G2 | Thammasat University Hospital | |
| 248 | 
                                
                                
                                
                                 
                                 | Case-275-G1 | Thammasat University Hospital | |
| 249 | 
                                
                                
                                
                                 
                                 | Case-275-G2 | Thammasat University Hospital | |
| 250 | 
                                
                                
                                
                                 
                                 | Case-276-G1 | Thammasat University Hospital | |
| 251 | 
                                
                                
                                
                                 
                                 | Case-276-G2 | Thammasat University Hospital | |
| 252 | 
                                
                                
                                
                                 
                                 | Case-276-G3 | Thammasat University Hospital | 
